企鹅是最古老的游禽之一,全部分布在南半球。虽然企鹅属于鸟类的一种,但它的显著特征之一就是不能飞,连滑翔都做不到。
企鹅分布范围从南非到南美西部以及南极洲沿岸。虽然提起企鹅就会联想到南极,但实际上生活在南极的企鹅只有7种:帝企鹅、阿德利企鹅、金图企鹅、帽带企鹅、王企鹅、喜石企鹅和浮华企鹅,不过数量相当可观。据鸟类学家的观察和估算,南极地区现有企鹅近1.2亿只,占世界企鹅总数的87%,占南极海鸟总数的90%。企鹅喜欢群栖,一群有几百只,几千只,上万只,最多者甚至达10~20多万只。在南极大陆的冰架上,冰山或浮冰上,都可以看到成群结队的企鹅聚集的盛况,给寂寥的冰雪世界带来了生机和活力。
稳定的体温很重要
为了适应极端寒冷的环境,企鹅身上的脂肪很厚,羽毛短小,且密度比同一体型的鸟类大三至四倍。经过寒风暴雪的磨炼,全身的羽毛已变成重叠、密接的鳞片状。羽毛短,以减少摩擦和湍流;羽毛间存留有一层空气,用以保温。这种特殊的羽衣,很难被海水浸透,上岸后只需要抖一抖就可以将全身水滴抛洒出去,也让企鹅在零下几十摄氏度的低温环境,能长时间保持体温。
企鹅身体的大部分区域都受到温暖的防水羽毛保护,皮肤下的脂肪则构成了一个隔热层。脂肪和羽毛的保温性都能极高,可能会让企鹅在阳光明媚的日子里体温过高。不过裸露的喙和脚可以把热量散发出去,帮助企鹅保持稳定的体温。有的企鹅在夏季喜欢趴在凉快的泥地里,翅膀张开,脚掌向上摊着散热。
企鹅的翅膀与海水接触的面积很大,扁平的翅尖几乎只有皮肤包着掌骨。为了防止在冰冷的海水里失温,它们演化出了热交换器。温暖的动脉血在进入翅尖之前,可以把热量交换给回流的静脉血;它们的双脚也有类似的血管设计。因此,企鹅能任凭四肢降温,而身体中央宝贵的温度不外流。
名字曾是别人的
最先被冠以企鹅(Penguin)之名的是大海雀,大海雀拉丁文学名为“Pinguinus impennis”。属名Pinguinus是“丰满”的意思,种加词impennis则是“没有飞羽”的意思。大海雀是一种已经灭绝了的水鸟,曾广泛生活在北大西洋的各个岛屿上。大海雀体型粗壮,腹部呈白色,头到背呈黑色,在水中的游动速度非常快,但由于双翼已经退化,只能在水面上低低滑翔,不能飞行,在陆地上的行动也比较缓慢。19世纪中叶,这种北方“企鹅”灭绝于人类的捕杀。地理大发现时期,欧洲人首次来到南极,发现了酷似大海雀的鸟类时,认为它们是有亲缘关系的动物,才将Penguin这个名字安在了现在的企鹅的头上。
大海雀
不仅如此,在企鹅凭借它们呆萌可爱的外表和憨态可掬的行为风靡全球后,为了表示区分,大海雀的英文名字被修改成了Great Auk,从此Penguin这个词就成了企鹅的专属名字了。
大海雀与企鹅并没有亲缘关系,但两者外形十分相似,这是一种典型的趋同进化。趋同进化就是在不同物种的进化过程中,由于相似的环境而呈现出形态特征或构造上的相似性。大海雀生活在北大西洋的岛屿上,和企鹅生活的南极大陆一样,海面下有丰富的食物,为了捕捉鱼类,大海雀进化出紧贴在身上的防水羽毛和脚蹼以及类似于企鹅的纺锤体躯干。为了应对北大西洋凛冽的寒风,大海燕也有肥胖的身躯以储存更多的脂肪,相应的这种肥胖的体型需带来的就是行走问题,大海燕也选择了类似于企鹅站立方式,并进化出粗壮大腿。
隐藏的大长腿
大部分企鹅的主色调都是背黑腹白。这种配色其实是海洋生物里非常经典的双向迷彩:从天上往下看,黑色的背侧和暗色的大海融为一体;而从水里向上看,白色的腹部和明亮的水面也难以区分。除了企鹅,虎鲸也是使用这一配色的典型例子。企鹅又是直立行走的,这让它的黑色背侧连同尾巴变成了一件绝妙的燕尾服。
站立状态
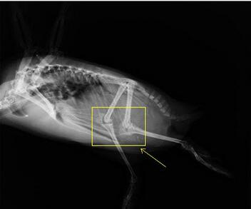
除了好似燕尾服的皮毛,提到企鹅,通常还会想到它们萌萌的步态。在陆上行走时,行动笨拙,脚掌着地,身体直立,依靠尾巴和翅膀维持平衡。遇到紧急情况时,能够迅速卧倒,舒展两翅,在冰雪上匍匐前进;有时还可在冰雪的悬崖、斜坡上,以尾和翅掌握方向,迅速滑行。它们看上去好像没有膝盖,双腿直立,通过不断地一抬脚一放脚向前移动,一摇一摆地走着。它们的腿看起来短,但若将它们置于X光下,就可以看到它们腿的骨骼结构实际上与人腿的结构相似,由短的股骨、膝盖、胫骨和腓骨组成。之所以看上去又短又粗,是因为太胖了,厚厚的脂肪加上羽毛把大部分的腿都藏起来了。
匍匐状态
虽然有与人腿结构相似的腿部骨骼,但企鹅大半的时间都是在水中度过的,它们的骨骼进化成更适于游泳的结构。为了便于游泳,企鹅的上腿骨很短,直立的时候和地面基本平行,膝盖正好在重心正下方,看起来始终是半蹲的状态。这样的小短腿骨骼结构意味着每一步都伴随着身体重心的很大波动,如果像正常走路那样上下颠簸,那就会额外消耗能量。为此,企鹅采取了一种左右摇摆的步姿,尽力把重心变化在水平方向上解决掉。
天空与海洋的选择
从企鹅的骨骼来看,有三个突出的特征:长脖子;一双占了全身三分之一的大长腿;胸骨宽厚有突出的龙骨。
胸骨的龙骨突起,这是现代会飞行鸟类的一个重要特征:绝大多数鸟类的胸骨腹侧正中具有一块纵突起,因像船底的龙骨,故称为龙骨突。常见于善飞的鸟类,供动翼肌的附着用;丧失飞翔能力的鸟类,如鸵鸟、鸸鹋等,龙骨突不发达或已退化。
企鹅并不会飞,那么经过了数千万年的进化,为什么还保留了飞行鸟类的的龙骨突起?
企鹅虽然走路一摇一晃,跑动起来连滚带爬,但在水中它的速度可达25~30千米/小时,一天游上160千米也非常正常,可以说水下就是企鹅的天空,它们的“飞翔”是在水中进行的,那一双小翅膀就是为了在水下潜泳而特别准备的。
企鹅的脚蹼跟鸭子不一样,鸭子是通过摆动脚蹼在水中划游,而企鹅的脚蹼在水里从来就没摆动过,它们是用来稳定和辅助方向的,不能助力游动,因此企鹅的小翅膀必须强壮有力,也许这就是企鹅仍然保持了龙骨突的真正原因。
企鹅短粗的翅膀难以维持飞行,但在水中阻力更小。划不动空气的翅膀,下水就成了有力的划桨。翅膀发力,脚调整方向,让它们实现在水里的“飞行”
生物学家已经证明了企鹅曾经能够飞翔,他们发现企鹅的骨骼密度在过去的3600万年间在不断地增加。骨骼沉重而不充气,内含有多脂肪的骨髓。这意味着现在的企鹅比祖先要更重。企鹅的骨头原本应该是中空的。中空的骨头比密集的骨头要更轻,使鸟类更容易飞翔。企鹅在追随食物从空中转到海洋里的过程中,逐渐的进化出更密集的骨头。
在恐龙灭绝之后不久,企鹅的祖先就已经放弃飞行,它们失去了飞翔的能力,进化了高超的潜水技巧,使得它们能够在海洋深处搜寻食物。
可能很久很久以前,企鹅的祖先面临过飞行与游泳的两难选择。天空与海洋之间的取舍,并不轻松。最后,它们选择了后者。凭借特化的翅膀,企鹅适应了在冰海里的“飞翔”。在食物丰富的南极,不惦记天空,专心钻水里吃吃吃也是一个好主意。(马烨华)
版权声明